2.2. Những thay đổi ngoại mạch
Trong giai đoạn co thắt và tăng trương lực động mạch võng mạc, tương ứng trên lâm sàng là dấu hiệu co động mạch lan tỏa và khu trú. Thông thường co động mạch lan tỏa khó đánh giá qua soi đáy mắt trực tiếp nhưng với sự hỗ trợ của công nghệ chụp ảnh đáy mắt tiêu chuẩn hiện nay, việc phát hiện dấu hiệu này đã trở nên đơn giản hơn.
2.2. Những thay đổi ngoại mạch
Trong giai đoạn co thắt và tăng trương lực động mạch võng mạc, tương ứng trên lâm sàng là dấu hiệu co động mạch lan tỏa và khu trú. Thông thường co động mạch lan tỏa khó đánh giá qua soi đáy mắt trực tiếp nhưng với sự hỗ trợ của công nghệ chụp ảnh đáy mắt tiêu chuẩn hiện nay, việc phát hiện dấu hiệu này đã trở nên đơn giản hơn. [9] [11, 12]
Tăng huyết áp trường diễn sẽ dẫn tới dày thành mạch (do hiện tượng xuất tiết nội mạch), tăng sản thành mạch, thoái hóa hyaline lớp trung mô và hệ quả là giai đoạn xơ hóa thành mạch thứ phát. Ở giai đoạn này, xuất hiện biến đổi ở chỗ bắt chéo động – tĩnh mạch và ánh động mạch lan rộng. Động mạch bình thường luôn có một đường trắng nhỏ ở giữa do ánh sáng phản chiếu (ánh động mạch). Ánh động mạch ngày càng rộng hơn khi thành mạch càng dày lên. Ở các giai đoạn muộn, ánh động mạch gần như chiếm toàn bộ chiều rộng động mạch (hình ảnh sợi dây đồng), cuối cùng động mạch bị thay thế bởi một đường màu trắng (hình ảnh sợi dây bạc). Ở chỗ bắt chéo động – tĩnh mạch, do sự xơ cứng và tăng áp lực động mạch, tĩnh mạch bị chèn ép dẫn tới bị giãn cả ở phía trước và sau chỗ bắt chéo tạo ra dấu hiệu Salus (động mạch đi ngoặt qua tĩnh mạch theo hình chữ S), dấu hiệu Gunn (tĩnh mạch như bị cắt làm đôi ở chỗ bắt chéo, ở hai bên động mạch đầu tĩnh mạch nhọn như hình lưỡi lê). Tuy nhiên xơ cứng thành mạch nguyên phát có thể gặp ở người già không có tăng huyết áp hay đái tháo đường. [9] [12, 13]
Tiếp theo là giai đoạn xuất tiết, tăng thấm thành mạch, khi hàng rào máu – võng mạc bị phá vỡ, lớp cơ trơn và nội mô bị hoại tử, gây thoát quản các thành phần hữu hình trong máu (hồng cầu, lipid …) và thiếu máu cục bộ võng mạc. Những thay đổi này biểu hiện trên soi đáy mắt bằng các dấu hiệu: xuất huyết hình ngọn nến, phù võng mạc, xuất tiết cứng, xuất tiết bông (hoại tử các sợi thần kinh võng mạc), vi phình mạch. Xuất huyết võng mạc sâu dạng vệt thường kèm theo sự tiến triển của tăng huyết áp và gợi ý tình trạng thiếu máu cục bộ đang nặng lên. Lắng đọng lipid quanh hoàng điểm có thể dẫn tới hình thành sao hoàng điểm. Phù gai có thể xảy ra cùng lúc và thường gợi ý tình trạng tăng huyết áp ác tính. [9] [12, 13]
3. Đặc tiểm tổn thương võng mạc tăng huyết áp
3.1. Biểu hiện lâm sàng
- Co động mạch: là đáp ứng sinh lý với tăng huyết áp động mạch. Co mạch có thể khu trú hoặc lan tỏa làm cho các động mạch có vẻ cứng thẳng, chia nhánh vuông góc tạo ra hình ảnh thưa thớt của hệ mạch võng mạc.
- Xơ cứng động mạch: khi có sự già cỗi của lớp collagen thì thành động mạch sẽ dày lên và cứng làm hẹp động mạch lại. Ánh động mạch biến đổi trông như sợi dây đồng. Động mạch kém đàn hồi, bị hyaline hóa tạo nên hình ảnh sợi dây bạc, cuối cùng có một bao trắng che lấp cột máu.
- Bắt chéo động – tĩnh mạch: chỗ bắt chéo động – tĩnh mạch được bọc bởi một bao xơ chun chung. Khi có quá trình xơ cứng thành mạch thì động mạch sẽ đè bẹp tĩnh mạch.
- Xuất huyết võng mạc: là những xuất huyết nông có hình ngọn nến nằm dọc theo các sợi thần kinh quanh những mạch máu lớn gần đĩa thị. Có thể là những xuất huyết sâu hơn hình chấm hoặc tròn ở khắp võng mạc.
- Xuất tiết bông: hay gọi là xuất tiết mềm là những đám trắng bờ không rõ nằm nông che lấp các mạch máu hay nằm gần những mạch máu lớn
- Xuất tiết cứng: là những đám màu vàng nằm sâu, ranh giới rõ thường ở cực sau. Chúng có thể sắp xếp theo hình nan hoa lan tỏa ra quanh hoàng điểm tao thành sao hoàng điểm. Đôi khi chúng tập trung lại tạo nên một đám thâm nhiễm lớn.
- Phù đĩa thị: bờ đĩa thị mờ, ranh giới không rõ, hơi nhô lên có màu trắng. Các tĩnh mạch giãn ngoằn ngoèo, cương tụ kèm theo giãn mao mạch, đôi khi có xuất huyết trước đĩa thị.

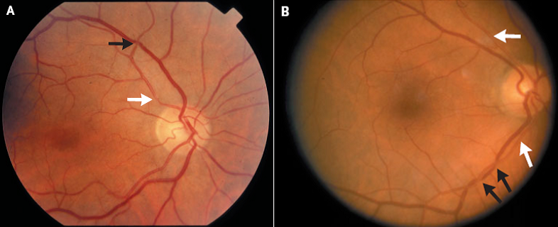
Hình 3. Bệnh võng mạc tăng huyết áp mức độ nhẹ (Nguồn: New England Journal of Medicine). A: bắt chéo động – tĩnh mạch (mũi tên đen) và co mạch khu trú (mũi tên trắng). B: bắt chéo động – tĩnh mạch (mũi tên đen) và dấu hiệu dây đồng (mũi tên trắng)

Hình 4. Bệnh võng mạc tăng huyết áp mức độ trung bình (Nguồn: New England Journal of Medicine). A: xuất huyết võng mạc (mũi tên đen) và xuất tiết bông (mũi tên trắng). B: xuất tiết bông (mũi tên trắng) và bắt chéo động tĩnh mạch (mũi tên đen)

Theo bacsinoitru.com
PK Đức Tín
Tin tức liên quan
Điện thoại bàn: (028) 3981 2678
Di động: 0903 839 878 - 0909 384 389







